Our Lab
Our research interests are focused on the understanding of the molecular mechanisms which lead to neurodegeneration in diseases such as Parkinson’s, Huntington’s, or Alzheimer’s disease. These diseases are intimately associated with protein misfolding and aggregation in specific regions of the brain.
Because the molecular pathways involved in protein homeostasis are highly conserved, we employ a wide variety of model organisms, from the simple but powerful budding yeast to mammalian cell culture and mice, to study the origin of the problems.
Our ultimate goals are to develop novel therapeutic approaches for these and other related disorders. We are working closely together with clinicians in order to accelerate drug discovery efforts, translating basic research into clinical applications that will improve the lives of patients.
Research Areas

Highlights
Lecture Prof. Evangelia Emmanouilidou
The inhibition of α-synuclein aggregation using marine-derived bacterial metabolites as a novel neuroprotective approach for Parkinson’s Disease Prof. Evangelia Emmanouilidou Laboratory of Biochemistry Department of Chemistry [...]
Exercise as a Tool to Protect Brain Health in Parkinson’s Disease
Exercise as a Tool to Protect Brain Health in Parkinson’s Disease MOVE-BRAIN-PD: A new European project involving the Department of Experimental Neurodegeneration, University Medical Center Göttingen, explores how [...]
Heat-Net Meeting 2024
It is our great pleasure to invite you to the our Heat-Net Meeting 2024. Heat-Net Meeting The workshop will be held in September 5-6, 2024, Cádiz https://heatnet2024.uca.es/ [...]
Lecture Dr. Nagendran Ramalingam
Physiological α-synuclein serine-129 phosphorylation is not an oxymoron α-Synuclein is an abundant presynaptic protein that regulates neurotransmission. It is also a key protein implicated in a [...]
A biological classification of Parkinson’s disease: the SynNeurGe research diagnostic criteria
A biological classification of Parkinson's disease: the SynNeurGe research diagnostic criteria With the hope that disease-modifying treatments could target the molecular basis of Parkinson's disease, even before the [...]
Neurodegenerative disorders, including Alzheimer’s disease (AD) and Parkinson ’s disease (PD), affect more than eleven million European citizens, and result in major suffering for patients and [...]
Selected Publications
Promises, hopes, and dreams in Parkinson’s disease research
Since James Parkinson first described his eponymous disease, our knowledge of its pathophysiology has grown enormously. However, in clinical settings, many of the original concepts remain in use, [...]
Lead as an environmental toxicant in models of synucleinopathies
Lead, a toxic heavy metal, is prevalent in various industrial applications, contributing to environmental contamination and significant health concerns. Lead affects various body systems, especially the brain, causing [...]
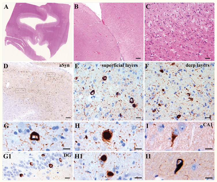
A novel alpha-synuclein G14R missense variant is associated with atypical neuropathological features
Parkinson’s disease (PD) affects millions of people worldwide, but only 5–10% of patients suffer from a monogenic forms of the disease with Mendelian inheritance. SNCA, the gene encoding [...]
Exact mechanisms of heat shock–induced lifespan extension, although documented across species, are still not well understood. Here, we show that fully functional peroxisomes, specifically peroxisomal catalase, are needed [...]
Glucocerebrosidase mutations disrupt the lysosome and now the mitochondria
Parkinson’s disease (PD) is a common neurodegenerative condition known for typical motor symptoms associated with the loss of dopaminergic neurons in the substantia nigra. Early genetics studies on [...]
A biological classification of Parkinson’s disease: the SynNeurGe research diagnostic criteria.
With the hope that disease-modifying treatments could target the molecular basis of Parkinson's disease, even before the onset of symptoms, we propose a biologically based classification. Our classification [...]










